医院新闻
告别刷牙 「打仗」!这个方法超简单
9 月 20 日是第 37 个「全国爱牙日」, 宣传主题是「口腔健康 全身健康」, 各位大小朋友! 刷牙这件日常小事, 其实藏着大大的学问。 要是刷不对, 牙齿问题就会找上门。 别愁,今天给大家带来超实用的圆弧刷牙法。 接下来,就为大家详细拆解圆弧刷牙法的每一步,轻松 get 一口健康大白牙。 圆弧刷牙法适用人群 1. 主要针对 2~6 岁儿童(手部协调能力发展阶段),也适用于自理能力较弱的老年人或特殊人群。 2.6 岁以上可逐步...
不想骨头成脆瓷?早防早治是关键
— 最新动态 —
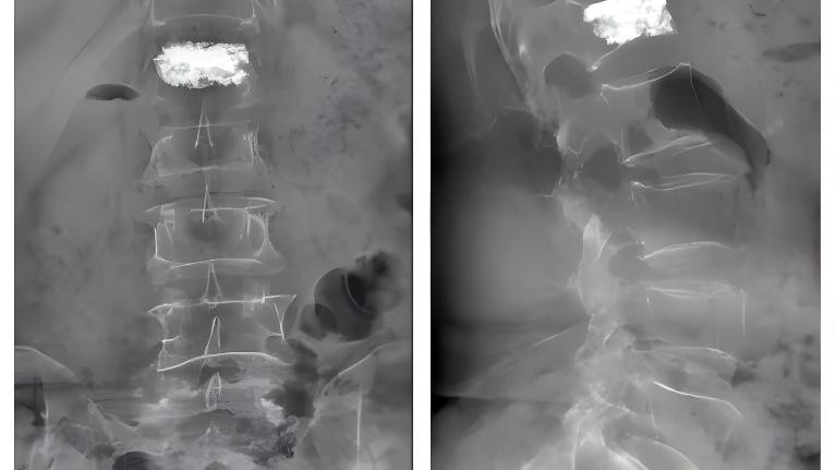
不想骨头成脆瓷?早防早治是关键
2025-09-05
「就搬了个花盆,腰突然疼得站不起来」 ...... 在深圳市龙岗区人民医院骨科门诊,常有老年人因这类 「小意外」 就诊,最终被确诊为骨质疏松性椎体骨折。 随着人口老龄化加剧,这种 「骨头像脆瓷一样易折」 的疾病,正成为威胁老年人健康的 「隐形杀手」。 今天,龙小医就带大家全面了解这种疾病,教你如何早防早治,守护骨骼健康。 什么是骨质疏松性椎体骨折?骨质疏松性椎体骨折是因骨量流失、骨骼变脆,导致椎体在轻微外力甚...
廖海兰:方寸刀尖「起舞」30 余载,用光明守护生命温度
在深圳市龙岗区人民医院眼科学科带头人廖海兰的职业生涯中,有这样一个瞬间令她刻骨铭心:1994 年,一位因炸鱼意外失明的青年农民躺在手术台上。这场持续 6 小时的角膜移植手术,不仅让患者重见光明,更让初出茅庐的廖海兰找到毕生信念。31 年后的今天,这位扎根基层的眼科专家,带领团队在白内障、眼底病、代谢性疾病眼病等领域创下多项技术突破,更创新构建「防-治-管」一体化眼健康服务体系。 从手术刀尖的精准博弈到科普宣...
必查!国家免疫规划疫苗——「入学入场券」
暑假余额已不足,家长们忙着给娃买新书包、新文具时,可别漏掉更关键的 「开学必备项」——疫苗接种! 校园里人群密集,秋季又是传染病高发期,及时打疫苗,才是给孩子筑好免疫屏障、安心返校的 「第一道防线」 深圳市龙岗区人民医院御府名筑社康早就为家长们整理好了「新学期疫苗指南」,不管是入学必查的免费疫苗查漏补种,还是能升级防护的自费疫苗,看完这篇全清楚,让娃带着 「健康铠甲」 元气开学! 01、必查!国家免疫规...
脖子变粗、吸涕带血?警惕是「广东癌」!
「一开始以为是胖了,后来眼睛越来越黄,才知道闯大祸了……」 42 岁的杜先生怎么也没想到,自己规律作息、不抽烟不喝酒,却被确诊为晚期鼻咽癌伴肝转移。今天,我们就来聊聊这个被称为 「广东癌」 的隐形杀手,以及它背后的生存故事与防治干货。 从 「脖子粗」 到肝衰竭: 一个被忽视的癌症信号 (第 1 次化疗前照片) 2025 年 4 月,杜先生发现自己两边脖子悄悄变粗,「当时觉得是没锻炼,胖了。」可半个月后,眼睛越来越黄,...
媒体聚焦 查看更多
  • 暂无资料
医院地址:深圳市龙岗区龙岗大道(龙岗段)6082号   电话:0755-84806933   邮编:518116
©深圳市龙岗中心医院版权所有 All rights reserved   技术支持:医创科技
医院地址:深圳市龙岗区龙岗大道(龙岗段)6082号
电话:0755-84806933   邮编:518116
©深圳市龙岗中心医院版权所有 All rights reserved   技术支持:医创科技